郑州种植牙
首页
企业简介
产品大全
联系我们
企业信息
在线留言
产品列表
PRODUCT
----------------
郑州种植牙 牙槽骨吸收如何选择?专业方案解析
郑州种植牙松动怎么办?美奥口腔为您详解原因与专业解决方案
郑州市种牙价格大揭秘 一颗种植牙究竟需要多少钱?
郑州半口种植牙费用全面解析 价格构成与选择指南
郑州半口种植新篇章 3颗植体半固定修复案例深度解析
2025郑州种植牙费用全解析 最新价目表、避坑指南与省钱攻略
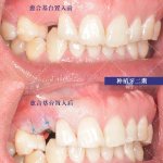
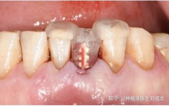
郑州种植牙 以右下7号牙缺失为例,解析种植牙三步曲
郑州市海旭磨料有限公司产品与服务概览
郑州健康产业新篇章 从食品级透明质酸到高端种植牙技术的融合与发展
郑州市中原区金亮电子产品销售部产品概览 从专业照明到郑州种植牙服务新亮点
郑州专业唇病诊疗与高品质种植牙指南 选择值得信赖的医疗服务
郑州全口/半口All-on-4种植牙 一场重塑生活品质的体验与医生选择指南
种牙后多久可以怀孕?—— 郑州地区种植牙前后的备孕考量
郑州可信赖的洗漱用品与一次性用品利弊分析,兼谈种植牙选择
郑州种植牙 美呗八大坑,为何我踩得一个不少
郑州植得口腔医院 技术出色、占比领先、价格亲民的种植牙优选
郑州PVC排水管与种植牙市场全解析 价格、厂家与图片指南
“豫见种植牙”公益讲座郑州站报名倒计时 仅剩2天!
郑州种植牙免费领,明早8:30开启,即刻预约开启自信微笑
郑州种植牙 缺牙后,修复是否是唯一且必要的选择?
如若转载,请注明出处:http://www.zzkqk.com/product/
1
2
3
4
5
下一页