郑州种植牙
  • 首页
  • 企业简介
  • 产品大全
  • 联系我们
  • 企业信息
  • 在线留言
当前位置: 首页 > 产品大全 > 种植牙哪家好

种植牙哪家好

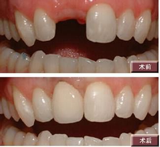
种植牙哪家好

如若转载,请注明出处:http://www.zzkqk.com/product/195.html

更新时间:2025-11-10 10:03:54

产品列表
PRODUCT

----------------

  • 郑州种植牙费用一般是多少?一文了解医院详情 郑州种植牙费用一般是多少?一文了解医院详情
  • 郑州种植牙价格表一览!2025爱牙指南分享 郑州种植牙价格表一览!2025爱牙指南分享
  • 郑州特色工艺品与特产概览及种植牙服务介绍 郑州特色工艺品与特产概览及种植牙服务介绍
  • 郑州种植牙案例分享 下颌单颗德国Camlog种植修复 郑州种植牙案例分享 下颌单颗德国Camlog种植修复
  • 郑州种植牙技术特色解析 杭州西湖口腔医院的经验借鉴 郑州种植牙技术特色解析 杭州西湖口腔医院的经验借鉴
  • 郑州种植牙医院排行前十 用户口碑认可的专业牙科推荐 郑州种植牙医院排行前十 用户口碑认可的专业牙科推荐
  • 郑州市郑东新区丽特玻璃耗材商行 郑州种植牙供应商报价与服务解析 郑州市郑东新区丽特玻璃耗材商行 郑州种植牙供应商报价与服务解析
  • 廊坊人看过来 种植牙品牌大全与选择攻略,附郑州参考 廊坊人看过来 种植牙品牌大全与选择攻略,附郑州参考
  • 郑州泰康百博种植牙费用优势解析 集中采购后韩国登腾种植牙起价2280元 郑州泰康百博种植牙费用优势解析 集中采购后韩国登腾种植牙起价2280元
  • 郑州种植牙 哪家医院与医生在半口/全口种植领域表现卓越? 郑州种植牙 哪家医院与医生在半口/全口种植领域表现卓越?

地址:郑州市金水区金水路276号

电话:-

Copyright © 2025 www.zzkqk.com 郑州种植牙 郑州种植牙 郑州种植牙 版权所有 Sitemap